革兰氏染液染色的步骤分析

其次介绍染色步骤:
1.涂片固定。
在干净的载玻片滴加一滴蒸馏水,用接种环进行无菌操作,挑取培养物少许,置载玻片的水滴中,与水混合做成菌悬液并涂布成直径约1cm的薄层。为避免因菌数过多聚集成团,不利于观察细菌个体形态,可在载玻片一侧进行上述操作,而在另一侧再加一滴水,从已涂布的菌液中再取一环于此水滴中进行稀释,涂布成薄层。若材料为液体培养物或固体培养物中洗下制备的菌液,则直接涂布于载玻片上即可,如菌液浓度较大,也可使用水滴再进行一次稀释。
涂片需要在室温条件下使其自然干燥,有时为了使之干得更快些,可将标本面向上,手持载玻片一端的两侧,小心地在酒精灯火焰上方较高的位置微微加热,使水分蒸发,但切勿紧靠火焰或加热时间过长,以防标本烤枯而变形。
标本干燥后即进行固定,
固定常常利用高温,手执载玻片的一端(涂有标本的远端),标本向上,在酒精灯火焰外层尽快的来回通过3-4次,共约2s-3s,并不时以载玻片背面加热,载玻片背面触皮肤,以不觉过烫为宜(不超过60℃),待放置冷后,再进行染色。
2.染色。
在固定过的涂片菌膜上滴加草酸铵结晶紫染液,染色液应完全覆盖整个菌膜,染色1min。
3.水洗。
染色到一定的时间,拿住玻片使之成450角,用细小的水流把多余的染料冲洗掉,被菌体吸附的染料则保留。
4.媒染。
加碘液覆盖涂面染1 min。在媒染处理时,媒染剂与染料形成不溶性的化合物,可增加染料和细菌的亲和力。
5.水洗。
用细小的水流缓慢冲洗涂片上的染色液,用吸水纸吸干。
6.脱色。
加95%酒精数滴,并轻轻摇动进行脱色,20s-30 s后再进行水洗,吸去水分。
7.复染。
蕃红染色液染色10 s后, 自来水冲洗。
8.干燥。
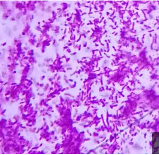
染色结果,革兰氏正反应菌体都呈紫色,负反应菌体都呈红色。

西安齐岳生物科技有限公司有自己的独立有机合成实验室,可以供应各种染色液,我们可以提供的产产品有巴氏染色液革兰氏染色液、DAB染色液;还包括细胞核染色、线粒体染色、细胞内脂类及蛋白质染色、DiD细胞膜染色、DiI细胞膜染色、DiO细胞膜染色、DiR染料、DiS细胞膜染色、PKH26细胞染色。
相关产品如下:
幽门螺旋杆菌染色液Helicobacter pylori Stain Kit
伊红染液(水溶性)Eosin Stain Kit
Masson染液Masson Stain Kit
革兰氏染液Gram Stain Kit
抗酒石酸酸性磷酸酶染液Tartrate-resistant acid phosphatase Stain Kit
快速瑞氏-姬姆萨复合染色液
刚果红染液(淀粉样变性染色液)Congo Red Stain
无毒环保脱蜡剂Dewaxing Reagent
快速姬姆萨染液 (适用于附红体染色)Giemsa Stain
碱性磷酸酶染液(钙钴法,适用于石蜡切片)ALP Stain kit
网状纤维染液Reticular Fiber Stain Kit
爱先蓝-糖原染液AB-PAS Stain Kit
肥大细胞甲苯胺蓝染液Toluidine blue Stain Kit
无毒环保透明剂Transparent Reagent
无毒环保封固剂(水溶性)
无毒环保封固剂(油溶性)Mounting Reagent
油红O染液Oil Red O Stain Kit
染色体核型分析染色液Karyotype Analysis Stain Kit
精子快速染色液(快速改良巴氏法)Quick Sperm Stain Kit
Diff-Quik染色液(三试剂)Diff-Quik Stain Kit
碱性磷酸酶染液(偶氮偶联法,适用于细胞样本)cALP Stain Kit
酸性磷酸酶染液ACP Stain kit
细胞活性鉴别染液Cell Viability Detected Stain Kit
血管通透性测试(伊文思蓝)染液Vasopermeability (Evan's Blue)Stain Kit
过氧化物酶染液Peroxidase Stain Kit
快速无毒改良巴氏染液Modified Papanicolaou Stain Kit
以上内容来自小编zzj 2021.1.19




齐岳微信公众号
官方微信
库存查询